
ブログ詳細BLOG
新着情報
ホームホワイトニング

こんにちは。すがわら歯科スタッフです🪥
先日検診中の患者さんがホワイトニングを希望され、ホームホワイトニングを行いました。
✨ホームホワイトニングとは✨
歯型を取りマウスピースを作ります。
そのマウスピースに薬剤を流し歯にはめて
約2時間付けっぱなしにします。
それを数日続けていただく…というやり方です。
ご自宅で好きなタイミングで使ってもらえるので時間の使い方が有効的なのと
毎日続けることで白さが持続しやすいことがメリットです。(神経のない歯には効きません😭)
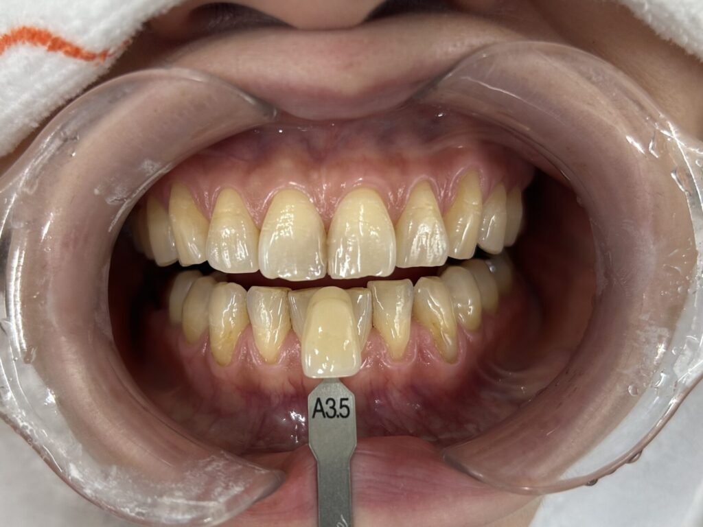
before


やや、黄色みが強い印象です。
数週間でチェックをします。
after


数週間で、元々A3.5という色味に近い状態から
A3、A2に近いところまでトーンアップしました。毎日頑張って続けていたそうです。
明るくなるまでの日数、程度は個人差がありますが続けることで明るい印象の歯を作ることができます。
もちろん、歯磨き練習、歯周病、虫歯治療をクリアした状態で進めていけるものになります。
ぜひ一度ご相談ください😊
CATEGORY
ARCHIVE
- 2026年2月 (1件)
- 2026年1月 (1件)
- 2025年12月 (3件)
- 2025年10月 (1件)
- 2025年9月 (2件)
- 2025年8月 (3件)
- 2025年7月 (1件)
- 2025年6月 (1件)
- 2025年3月 (2件)
- 2025年2月 (3件)
- 2025年1月 (2件)
- 2024年12月 (3件)
- 2024年11月 (2件)
- 2024年10月 (3件)
- 2024年9月 (6件)
- 2024年8月 (1件)
- 2024年7月 (2件)
- 2024年6月 (2件)
- 2024年5月 (2件)
- 2024年3月 (2件)
- 2024年2月 (1件)
- 2024年1月 (1件)
- 2023年12月 (1件)
- 2023年11月 (2件)
- 2023年10月 (2件)
- 2023年9月 (2件)
- 2023年8月 (2件)
- 2023年7月 (2件)
- 2023年6月 (2件)
- 2023年5月 (3件)
- 2023年4月 (1件)
- 2023年3月 (7件)
- 2023年2月 (2件)
- 2023年1月 (3件)
- 2022年12月 (2件)
